医学检验仪器
首页
行业资讯
技术文章
产品目录
厂商名录
会议展览
技术服务
新品关注
电脑版
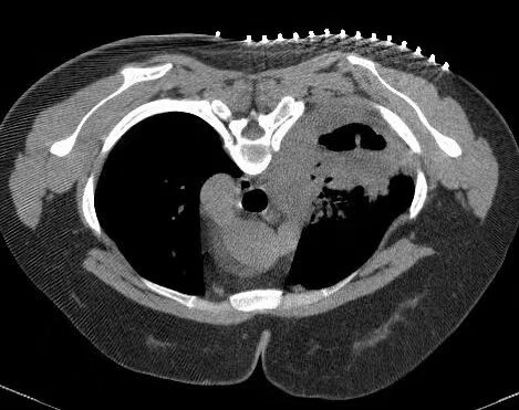
CT定位纸显影胶带肺部穿刺活检体表定位
基本信息
产品名称:
CT定位纸显影胶带肺部穿刺活检体表定位
英文名称:
国产/进口:
国产
产地/品牌:
南京/NJNC
型号:
NJNC-1,NJNC-2
参考报价:
销售商:
江苏晓创医疗科技有限公司
总点击数:
1919
更新日期:
2021-11-19
产品类别:
医学检验仪器
性能参数
很多病人需要做微创穿刺介入手术,需要进行病灶点的体表定位,传统自制的简单工具,效果不够好,显影不清晰,导致标记不方便,定位不够准确,势必增加医师的工作量,也给患者带来辐射量增加的风险。本医用定位纸产品采用国际先进生产工艺制造,可用于CT引导下定位,介入穿刺引流,活检定位,帮组仲瘤消融,定位精准、影像清晰,适用于介入科、仲瘤科、呼吸科、骨科、疼痛科等。
联系人:周小平
联系电话:13626259623 (电话同微信)欢迎各位咨询选购
公司简介
一类医疗器械的研发、生产、销售;二类医疗器械的研发、生产(按照《医疗器械生产许可证》核定范围)、销售;商务信息咨询;自营和代理各类商品及技术的进出口业务,但国家限定企业经营或禁止进出口的商品及技术除外。
售后服务
相关视频
暂无
资料下载
暂无
联系方式
单位名称:
江苏晓创医疗科技有限公司
详细地址:
常州西太湖科技产业园腾龙路2号6号楼
qq:
联系电话:
051981819980
Email:
14600840@qq.com
在线询价
*
姓名:
*
单位:
职位:
*
手机:
*
邮箱:
地址:
*
地区:
请选择省份
北京
上海
广东
江苏
浙江
山东
湖北
河南
福建
四川
河北
湖南
辽宁
陕西
安徽
重庆
黑龙江
吉林
江西
天津
广西
山西
内蒙古
甘肃
贵州
新疆
云南
宁夏
海南
青海
西藏
港澳台
海外
其它
资料:
需要
不需要
报价:
需要
不需要
留言:
我对您的“CT定位纸显影胶带肺部穿刺活检体表定位” 感兴趣。请联系我并提供报价
验证码:
我希望获得多家供应商报价
首页
我的账户
立即询价
电话咨询