Visium HD | 空间基因表达

无偏好性的单细胞分辨率
此次发布的 VisiumHD 芯片摒弃了以大直径 55um 的 spot 设计,而是采用 2 *2um 的正方形当做基础分析单位,芯片中间没有空隙。真正的能够做到无间隙,无偏好性的单细胞分辨率水平的空间转录组。目前 HD 芯片发布捕获框大小是 6.5*6.5mm 的规格,可检测物种是人和小鼠,兼容石蜡样本。

▲Visium HD 空间基因表达玻片包含两个 6.5 x 6.5 mm 的捕获区

▲Visium HD 空间基因表达玻片的捕获区含有约 1100 万个 2 x 2 µm 连续区块,实现单细胞水平的空间分辨率。
|
Visium
![]() |
Visium HD
![]() |
搭载 Visium CytAssist 获得最好的数据
Visium HD 将强大的全转录组空间基因表达与单细胞尺度分辨率结合起来,来发现每一微米组织中独特的生物学特性。同时启用 CytAssist 仪器,让样本在简单的运行工作流中获得最好的数据。

▲全转录组、单细胞分辨率、连续覆盖

▲通过 Visium CytAssist 实现精准的转录本定位

▲通过高分辨率的空间转录组学来增强 H & E 或 IF 成像后的样本。

▲从 FFPE 组织块或载玻片上的组织切片中获得强大的数据


▲兼容 H & E 染色以及 IF 染色 Visium HD 空间基因表达兼容 H &E 染色以及 IF 染色。
(可在同一组织切片上进行高分辨率空间转录组学数据分析)
Visium HD 芯片与基础芯片技术比较
| 芯片型号 | Visium | Visium CytAssist | Visium HD |
| 分辨率 | 直径 55um | 直径 55um | 2*2um, 全组织覆盖 |
| 检测范围 | mRNA | mRNA | mRNA |
| 物种 | 全物种 | 人 / 小鼠 | 人 / 小鼠 |
| 组织兼容性 | FF | FF/FFPE | FFPE(后面应该会加入 FF) |
| 捕获原理 | polyA 尾捕获 | 探针法捕获 | 探针法捕获 |
| 芯片大小 | 6.5 mm× 6.5 mm | 6.5 mm × 6.5 mm 11 mm × 11 mm |
6.5 mm× 6.5 mm |

每微米都蕴藏着无限的探索潜力

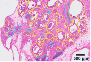
这份 FFPE 人类乳腺导管原位癌样本的 Visium HD 分析构建了 一张无偏的全转录组图谱,并鉴定出肿瘤微环境中的主要 细胞类型和状态。
|
H&E 染色结果
![]() |
Visium HD 基因表达数据
![]() |
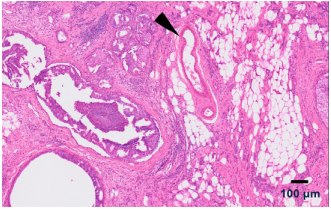
▲自信地绘制血管等小型生物结构中细胞类型的空间排布。
| 带有癌症区域(黄色)和免疫富集区域
(青色)的病理学注释的 H & E 染色结果
![]() |
Visium HD 基因表达数据
![]() |
▲定位组织驻留细胞群,包括免疫细胞或癌细胞,以发现它们的相互作用以及对疾病或治疗应答的贡献。
直观的数据探索加速科学发现

Visium HD 数据是以 2 µm 以及多种拼接尺寸输出的。上图中的数据是在 8 µm 下可视化的。
数据分析:Space Ranger & Loupe Browser
Visium HD 具备一体化的数据分析模式,使用 Space Ranger,可自动将空间基因表达信息叠加在组织图像上,将原始 fastQ 数据经过质控,比对,定量等步骤后转为 gene 表达矩阵,供分析人员进行二级分析。还可以使用 Loupe Browser 进一步可视化和探索 Visium HD 的数据,同时兼容 R 和 Python 开发的生态系统继续分析 Visium HD 数据。
伯豪生物客户项目发文
| 序号 | 伯豪生物提供服务 | 杂志 | IF | 发表年份 | 研究方向 |
| 1 | 【服务】时空组学 【样本】肺组织 【原文链接】点击查看 |
Journal of Translational Medicine | 6.1 | 2025年 | 疾病机制 |
| 2 | 【服务】时空组学 【样本】肿瘤组织 【原文链接】点击查看 |
Cancer Cell | 48.8 | 2025年 | 医学图谱 |
| 3 | 【服务】时空组学 【样本】外周血 【原文链接】点击查看 |
Clinical and Translational Medicine | 7.9 | 2025年 | 疾病机制 |
| 4 | 【服务】时空组学 【样本】肿瘤组织 【原文链接】点击查看 |
Journal of Thoracic Oncology | 21 | 2025年 | 疾病机制 |
| 5 | 【服务】时空组学 【样本】肾脏组织 【原文链接】点击查看 |
Cell Communication and Signaling | 8.2 | 2025年 | 疾病机制 |
| 6 | 【服务】时空组学 【样本】角膜组织 【原文链接】点击查看 |
Signal Transduction and Target 40 ed Therapy |
40.8 | 2025年 | 疾病机制 |
| 7 | 【服务】时空组学 【样本】宫颈组织 【原文链接】点击查看 |
Advanced Science | 14.3 | 2025年 | 医学机制 |
| 8 | 【服务】时空组学 【样本】滑膜组织 【原文链接】点击查看 |
Bone Research | 14.3 | 2025年 | 医学机制 |
| 9 | 【服务】时空组学 【样本】肺转移肿瘤组织 【原文链接】点击查看 |
Cell Reports Medicine | 11.7 | 2025年 | 医学机制 |
| 10 |
...... |
||||


上海伯豪生物技术有限公司(简称:伯豪生物,英文名:Shanghai Biotechnology Corporation)2008 年 12 月成立,是生物芯片国家工程研究中心的有机组成部分,专注于提供专业的生物医药和疾病诊断创新技术、产品和优质服务。

伯豪生物自成立以来获得了国家基因检测技术应用示范中心、国家工信部专精特新“小巨人”企业、院士专家工作站、高新技术企业、上海市研发公共服务平台(负责“上海市高通量疾病标志物服务平台”和“上海市基因芯片专业服务平台”的运营)、上海市服务外包公共平台、上海科技小巨人企业、浦东新区企业研发机构、联合实验室建设等一系列资质,拥有医疗机构执业许可证、医疗器械经营许可证。

伯豪生物于 2016 年入选国家发展和改革委员会首批基因检测技术应用示范中心,与复旦大学附属肿瘤医院、上海市胸科医院、上海市儿童医院、上海生物信息技术研究中心等单位共同承担运行“高发肿瘤及遗传性疾病基因检测示范中心”。

伯豪生物建立了规范化的质量控制体系,通过了 ISO9001:2015 质量技术体系的认证,并参照 GLP- L 的标准,通过 156 个 SOP 文件对项目、样品、实验过程、生物信息分析过程、数据信息管理、保密等进行严格质控。

伯豪生物累计技术服务 10 余年,承接项目数超 10000 个,用户单位 3000 家以上,累计处理样品超过 30 万份,协助客户发表论文 2000 余篇,总影响因子(IF)超 10000 分,平均影响因子(IF)大于 5 分。全面推动中国基因组学服务产业发展。可靠的质量已经得到了国内及国际科研领域的认可!伯豪生物秉承着“服务科技创新,护航人类健康!”的使命,为每一位伯豪生物客户提供专注、专业、高效的科研技术服务。
伯豪生物经过十多年不断投入和持续打造,伯豪生物已经成长为一家硬件精良,人才合理,技术专业,管理规范,理念先进,符合国际标准的以技术开发和技术服务见长的生物技术公司。

| 单位名称: |
|
详细地址:
中国(上海)自由贸易试验区蔡伦路999号1号楼5楼
|
|
qq:
316778748
|
| 官网: |
| 联系电话: |
| Email: |