文章

显微镜应用于肝脏细胞拍摄工作

2025-04-25     来源:本站     点击次数:864

【案例背景】
在这个科技日新月异的时代,显微镜技术正不断推动着生物学、医学等领域的进步。今天,我们来聊聊如何利用明美显微镜ML31-P的偏光观察功能,拍摄观察肝脏样品的微观世界。
肝脏,作为人体的重要器官之一,其结构和功能的复杂性一直吸引着科研人员的目光。为了更深入地了解肝脏的微观结构,我们决定利用明美显微镜ML31-P进行偏光观察拍摄。
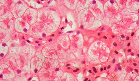
本次拍摄目的是通过偏光观察,展现出肝脏样品的内部结构,包括肝脏形态。这些微观信息对于肝脏疾病的研究具有重要的意义。通过明美显微镜ML31-P的高清晰度成像,我们能够更清晰地观察和分析肝脏样品的微观特征,为科研工作提供有力支持。
 
一、肝脏细胞,也称为肝细胞,是肝脏的基本组成单位,具有独特的特点和广泛的应用。
                                             
1、 肝脏细胞的基本特点
(1)肝脏细胞通常呈多边形,具有明确的细胞边界,相邻细胞之间通过紧密连接,形成肝小叶的结构。
(2)细胞质内含有丰富的细胞器:如线粒体、内质网、高尔基体等,这些细胞器对肝细胞的代谢、合成和分泌功能至关重要。

2、肝脏细胞在诸多方面有着巨大的优势:
(1)强大的代谢能力
(2)高效的解毒功能
(3)强大的再生能力

3、肝脏细胞在医学研究、药物研发、生物治疗和组织工程等领域具有广泛的应用前景:
(1)医学研究:肝细胞是研究肝脏疾病、代谢性疾病等的重要模型。通过体外培养肝细胞,可以模拟肝脏的生理和病理过程,为疾病的研究和治疗提供重要的实验依据。
(2)药物研发:肝细胞是药物代谢和毒性测试的重要工具。在药物研发过程中,利用肝细胞进行药物的代谢和毒性测试,可以预测药物在体内的代谢途径和可能产生的副作用,为药物的安全性和有效性评估提供重要依据。
(3)生物治疗:肝细胞移植是一种新兴的生物治疗方法,用于治疗某些肝脏疾病。通过将健康的肝细胞移植到患者体内,可以替代受损的肝细胞,恢复肝脏的功能。
(4)组织工程:通过将肝细胞与其他类型的细胞共同培养,可以构建出具有特定功能的组织或器官,为组织修复和再生提供新的思路和方法。
 
二、显微成像技术在肝脏细胞研究中的应用
(1)肝脏细胞显微操作与观察
在显微镜下,将制样好的玻片放在载物台固定,切换10X物镜、20X物镜或40X物镜,进行对焦。
随后,将检偏器推入光路,通过旋转聚光镜处的起偏器进行偏光观察,观察视野是否有偏光的效果。
切换到高倍物镜观察,观察偏光效果。

【样品拍摄展示】

三、明美显微镜ML31-P的介绍
明美显微镜ML31-P是一款具备明场、偏光观察功能的显微镜,适用于需要分析样品光学性质的场合,例如观察晶体、中药粉末、蛋白结晶等。
并且可以通过选配其他附件,实现暗场观察、相差观察等多种观察模式,满足不同的实验需求,提高实验效率。
可搭配高像素显微镜相机(如MDX10等),实现高分辨率的清晰图像采集,展示样品的更多结构细节。
其设计充分考虑了用户的使用体验,操作简单明了,功能切换方便快捷。不管是否是初学者,都可以轻松上手操作。
ML31-P不仅适用于科研领域,还广泛应用于教学、医学领域。
【产品图展示】


免责声明
本站无法鉴别所上传图片、字体或文字内容的版权,如无意中侵犯了哪个权利人的知识产权,请来信或来电告之,本站将立即予以删除,谢谢。 
相关文章 更多 >