文章

AAV2/9-GfaABC1D对星形胶质细胞感染效率研究

2025-11-24     来源:本站     点击次数:346

视神经脊髓炎谱系障碍(NMOSD)是一种复发性自身免疫性疾病,主要影响视神经和脊髓。虽然视神经脊髓炎(NMO)的发病机制涉及AQP4-IgG和补体途径介导的损伤,但补体途径的具体作用仍有待充分阐明。近期,哈尔滨医科大学附属第一医院杨珊珊团队联合山东大学齐鲁医院林岩团队、中山大学附属第三医院汤常永、王佳妮团队在Molecular Therapy (IF 12.0)上发表文章“CFHR2 supplementation mitigates pathologies of neuromyelitis optica by regulating complement activation”,发现CFHR2显著减轻了NMO相关病变和运动障碍,为NMO提供了一种有希望的新治疗策略。
 
· 维真助力 - AAV·
基因信息:CFHR2,补体因子H相关蛋白2
实验动物:8周 雌性C57BL/6J小鼠
病毒产品:AAV2/9-GfaABC1D-CFHR2、AAV2/9-GfaABC1D-GFP
注射方式:立体定位注射 1μl
注射部位:纹状体
 
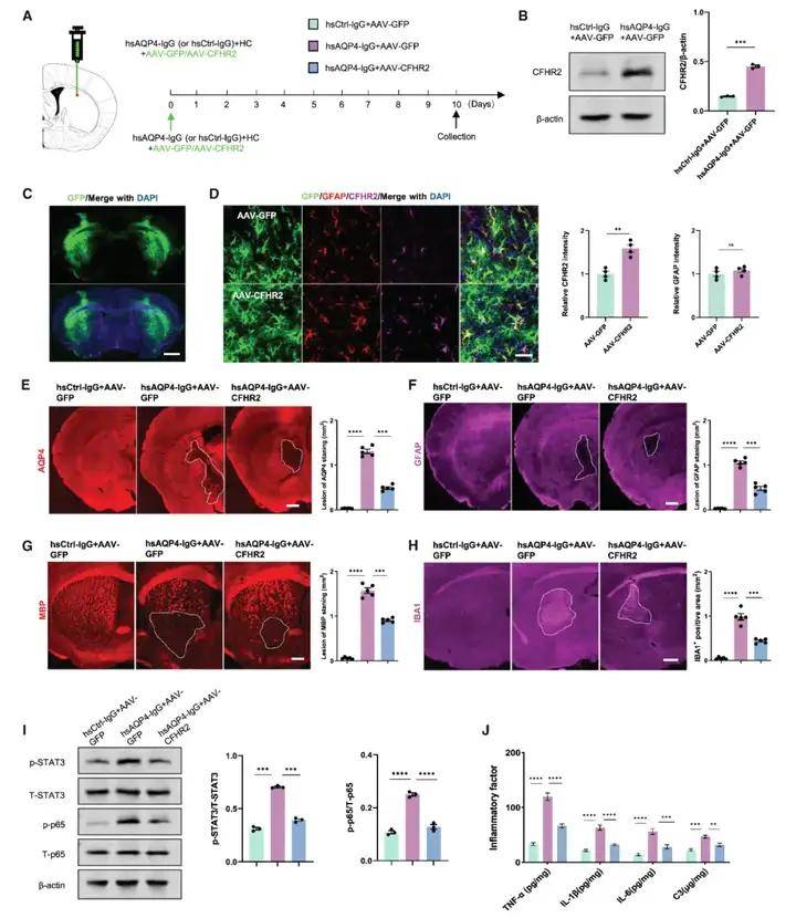
免疫印迹结果表明AAV成功介导CFHR2表达
结果展示
1. 星形胶质细胞特异性CFHR2过表达可缓解NMO样病变
作者发现NMO患者和NMO小鼠体内CFHR2水平均显著降低,并可能导致更严重的功能障碍,rhCFHR2可改善NMO小鼠体内以及离体脑片中的NMO样病变。为了探索CFHR2的潜在作用,作者将AAV2/9-GfaABC1D-CFHR2或AAV2/9-GfaABC1D-GFP注射到8周龄野生型小鼠的纹状体中,随后给予hsAQP4-IgG和补体,发现注射AAV-GFP不能阻止AQP4、GFAP或髓鞘的丢失,也不能抑制小胶质细胞的活化,但AAV-CFHR2有效地减弱了AQP4、GFAP、MBP的损失,并减少的小胶质细胞活化。此外,AAV2/9-CFHR2还降低了STAT3和NF-κB通路的活化,减少促炎因子的释放。这些数据表明CFHR2的星形胶质细胞特异性过表达可以显著减轻MMO样病变和相关炎症。
图1 CFHR2在星形胶质细胞中的过表达可改善体内的NMO样病变
2. 工程化外泌体递送CFHR2可改善MMO样病变和运动障碍
外泌体是一种有希望应用于临床的纳米载体,作者使用外泌体递送CFHR2(CFHR2-Exos),发现CFHR2-Exos能在NMO小鼠体内以及离体脑片中改善NMO样病变。作者还研究了CFHR2-Exos是否可以缓解运动功能障碍,发现hsAQP4-IgG和Ctrl-Exos组小鼠表现出步幅长度减少,表明运动协调受损,但CFHR2-Exos给药显著改善了行为表现。此外与对照组相比,Ctrl-Exos小鼠在转棒任务期间从圆柱体掉落的倾向更高,CFHR2-Exos给药通过延长小鼠从圆柱体上跌落前的平均潜伏期来改善这些运动障碍,并逆转了NF-κB和STAT3信号途径的激活。这些结果表明,CFHR2-Exos显著改善了由hsAQP4-IgG引发的小鼠运动缺陷和NMO样损伤。
图2 CFHR2-Exos改善NMO模型中的NMO样病变和运动缺陷
实验结论
本研究揭示了补体信号及其下游效应物在NMO中的损伤作用,确定了AAV-CFHR2和CFHR2-Exos是调节补体激活和减轻NMO样病理损伤的有效策略,为NMO提供了一种有希望的治疗方案。
相关文章 更多 >