Section.01
为什么国自然一定要加
"计算药物发现"?
又到一年一度国家自然基金集中申报季,是不是还在愁:创新点不够新、技术路线不够硬、实验做起来不落地?今年别慌!MCE 一站式药筛平台专注药物发现计算服务,提供从靶点结构到候选分子的一整套解决方案,为您的国自然申请书快速出数据、完善方案、大幅提高中标率!
传统新药研发周期长、成本高、命中率低,而结构生物学 + 分子模拟 + AI 筛选已经成为新药研究最具竞争力的方向之一,在国自然评审中,AI + 虚拟筛选 + 分子动力学作为加分项、亮点项、核心创新项也备受瞩目。
MCE 能提供哪些核心技术服务?
『一、AI 药物筛选』
人工智能药物设计 (Artficial Intelligence Drug Design,AIDD) 是近年来备受关注的前沿技术,已深度融入新药设计与研发的各个环节,为药物发现与开发提供了强有力的支持。随着医药数据的积累和人工智能技术的发展,运用 AI 技术并结合大数据的精准药物设计也不断推动着创新药的发展。
基于机器学习模型,MCE-AI 药物筛选能够实现:
1. 超大规模化合物库快速筛选。
2. 化合物成药性、ADMET 性质预测。
3. 高活性、高选择性小分子智能推荐。
真正做到药筛更快、更准、更省。

『二、计算机虚拟筛选』
虚拟筛选 (VirtualScreening,VS) 利用小分子化合物与药物靶标间的分子对接运算,可快速从数万至数千万分子中,遴选出具有潜在成药性的化合物。目前利用虚拟筛选成功辅助药物设计的案例逐年增多,虚拟筛选已成为目前最有潜力的药物开发工具。
针对酶、GPCR、激酶、离子通道等多种类型靶点,MCE– 虚拟筛选团队可以实现从化合物库构建与预处理到基于靶点结构的高通量分子对接,以及化合物打分排序、富集分析、结果可视化,并输出可直接用于标书、论文的图表与数据,为您提供全流程的虚拟筛选服务。
图 2. 基于配体与结构的虚拟筛选流程示意。
『三、分子对接』
分子对接 (MolecularDocking) 是分子模拟的重要手段之一,它通过计算机模拟来探究两个或多个分子之间的识别过程,这一过程涉及分子间空间形态互补和能量匹配,能够实现底物结合口袋精准定位,为您的作用机制研究提供强力计算证据。
分子对接类型分为:蛋白-小分子对接、蛋白-蛋白对接、蛋白-核酸对接,分子对接采用的方法有刚性对接、半柔性对接、柔性对接等。
图 3. 蛋白-小分子的分子对接与结合模式分析。
『四、分子动力学模拟 (MD)』
分子动力学 (Molecular Dynamics, MD) 模拟是一种基于牛顿力学,综合了物理、数学和化学等多种学科的计算机模拟方法,可以依据当前分子体系的位置、速度和动能等信息,推测该体系未来的位置、速度和动能,从而揭示分子运动的客观规律。
通过计算机分子模拟,研究人员能够在分子水平上理解生物大分子的运动与生物功能、蛋白- 小分子之间相互作用机理。通过对复合物稳定性分析 (RMSD、RMSF)、氢键分析、关键氨基酸能量贡献以及结合自由能计算,可以实现体系静态对接到动态验证的升级,让结论更扎实、更有说服力。
图 4. 分子动力学模拟流程图。
MCE 客户案例
『客户案例一 (双一区 TOP 期刊)』
——MCE-AI 赋能降糖药物筛选!食源性 α-葡萄糖苷酶抑制剂筛选新方案[1]
图 5. AI 赋能降糖药物筛选[1]。
本研究中,客户先以 α-葡萄糖苷酶为靶点,用 Chemprop 算法构建活性 + 毒性 + 药物相互作用 (DDI) 深度学习三模型,从 7 万食源性化合物中初筛出 75 个高活性低毒候选物。
经肠道通透性筛选 + 分子对接/200ns 动力学模拟验证结合稳定性,锁定白桦脂酸等核心分子。
最终体外实验确证,白桦脂酸与白桦脂、羽扇豆醇等联用对 α- 葡萄糖苷酶有协同抑制作用,为糖尿病饮食干预提供新方向。
『客户案例二 (IF =38.6)』
——MCE-计算机虚拟筛选,破解糖尿病心脏损伤[2]


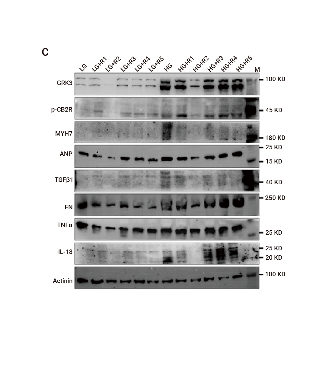
图 6. 通过虚拟筛选得到高效的 GRK3 抑制剂 ICQA[2]。
在本案例中,作者先证实 GRK3 通过磷酸化 CB2R (S335 位点)加速其降解,加剧心肌损伤,锁定 GRK3 为靶点。对 19100 种生物活性化合物高通量虚拟筛选;经分子对接、10ns 动力学模拟验证结合稳定性,筛选出异绿原酸 A (ICQA)。
SPR 证实其与 GRK3 高亲和力结合 (Kd=199nM),体内外实验确证 ICQA 可抑制 GRK3 活性,保护心肌功能,为糖尿病心脏损伤提供新疗法。
|
产品推荐 |
|
虚拟筛选 (VirtualScreening,VS) 是基于小分子数据库开展的活性化合物筛选。利用小分子化合物与药物靶标间的分子对接运算,虚拟筛选可快速从几十至上百万分子中,遴选出具有成药性的活性化合物,大大降低实验筛选化合物数量,缩短研究周期,降低药物研发的成本 |
|
人工智能 (ArtificialIntelligence,AI) 药物筛选是一种结合AI技术与计算化学的高通量筛选方法,广泛应用于蛋白结构预测、新药研发和分子设计与优化等领域。其主要目的是利用机器学习 (MachineLearning,ML) 算法分析大量数据,从中学习规律,生成 AI 打分函数,以此提高筛选效率,加速候选药物的发现过程。 |
|
分子对接 (MolecularDocking) 是一种基于计算模拟的药物分子与生物大分子 (如蛋白质、核酸等) 相互作用预测技术。其核心原理包括锁钥模型 (Lock-and-KeyModel) 和诱导契合学说 (InducedFitTheory),分别描述配体-受体的刚性匹配和动态构象调整过程。 |
|
分子动力学 (MolecularDynamics,MD) 模拟是一种基于牛顿力学,综合了物理、数学和化学等多种学科的计算机模拟方法,用于研究分子体系的运动和相互作用、预测分子体系的行为和结构性质。通过计算机分子模拟,研究人员能够在分子水平上理解生物大分子的运动与生物功能、蛋白-小分子之间相互作用机理。 |
|
表面等离子共振 (SurfacePlasmonResonance,简称 SPR) 是借助传统光学现象,利用光在不同介质中产生消逝波后与等离子波产生共振,进而可以构建生物分子相互作用的生物传感分析技术,用以检测生物传感芯片上配位体与分析物之间的相互作用情况。 |
[1] Liu R,et.al. Chemical Properties-Based Deep Learning Models for Recommending Rational Daily Diet Combinations to Diabetics Through Large-Scale Virtual Screening of α-Glucosidase Dietary-Derived Inhibitors and Verified In Vitro. J Agric Food Chem. 2025 Jun 18;73(24):15165-15177.
[2] Gao P, et al. G Protein-Coupled Receptor Kinase 3 Exacerbates Diabetic Heart Injuries Through Direct Phosphorylation of Cannabinoid Receptor 2 in Humans and Mice. Circulation. 2025 Sep 23;152(12):882-898.
