做神经科学、免疫学或细胞生物学研究的朋友,是不是常遇到这些糟心事儿:
神经元示踪剂毒性太高,实验动物存活率拉胯,阳性信号还模糊?
免疫佐剂要么效果弱,要么刺激性强,口服给药更是难上加难?
脂筏标记总被非特异性结合干扰,透化处理还容易破坏膜结构?
直到我挖到「霍乱毒素 B 亚单位(CTB)」这款科研神器 —— 重组无毒性设计 + GM1 高特异性结合,直接把三大核心应用场景的痛点一锅端,还被多篇顶刊认证,科研党必码!
先搞懂:为什么 CTB 能成为「科研万能工具」?
很多人对霍乱毒素的第一印象是「有毒」,但这款重组 CTB 早就颠覆了认知:
它只保留了霍乱毒素中负责结合的 B 亚单位,完全剔除了具有酶活性的毒性 A 亚单位 —— 既保证了实验零安全风险,又没丢核心功能:能高亲和力、高特异性识别细胞膜上的 GM1 神经节苷脂(神经元、上皮细胞表面富集),不破坏细胞的同时,还能精准完成靶向结合与信号传导。
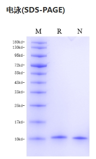
更关键的是它的硬指标:经 SDS-PAGE 和 RP-HPLC 双重验证,纯度>95%;无叠氮化钠添加,低内毒素(<0.2EU/μg),不管是细胞实验还是动物实验,都能避免干扰结果,让数据更靠谱。

三大核心应用:从神经示踪到脂筏标记,全场景适配
1. 神经元逆行示踪:精准定位,信号不「跑偏」
做神经环路研究的同学都懂,示踪剂的特异性直接决定实验成败。CTB 的逆行示踪优势直接拉满:
操作友好:1% 浓度 + 0.2μL 微量注射,立体定位仪配合 Hamilton 注射器,30 分钟缓慢注射,针头停留 10-15 分钟避免回流,新手也能上手;
信号清晰:注射后 7-10 天存活期,神经元充分摄取并逆向运输,用兔抗 CTB 多克隆抗体孵育 48 小时,荧光显微镜下绿色阳性信号一目了然,还能做三维重建;
低毒安全:无毒性 A 亚单位,实验动物存活率高,已被 Front Neuroanat(2020)等期刊用于脑脊液接触核神经元分布研究,数据可复现性强。
![]() |
![]() |
2. 免疫佐剂:口服适用,抗原免疫效果翻倍
黏膜免疫研究中,佐剂的选择太关键!CTB 作为佐剂的核心优势的是「灵活 + 高效」:
搭配自由:佐剂剂量不超过抗原剂量 1 倍即可(预实验优化),现配现用,适配不同抗原类型;
给药方便:口服免疫单只小鼠单次仅需 10μg,按 100μL 体积给药,终浓度 100μg/mL,0/7/14 天三次免疫即可;
效果认证:已有研究用它与 H9N2 WIV 抗原联合免疫,抗体滴度和细胞免疫指标表现优异,对比 CpG 佐剂毫不逊色(Mucosal Immunol. 2015)。

3. 脂筏标记:免透化也能用,适配活细胞 / 固定细胞
脂筏标记的难点在于「既要标记精准,又不破坏膜结构」,CTB 直接给出双方案:
直接标记:用 CTB-FITC(货号 abs80003),4℃孵育 30 分钟(避免内吞),全程避光,活细胞也能标记,荧光信号稳定;
间接标记:CTB + 一抗 + 二抗组合,无需透化(避免脂筏溶解),贴壁 / 悬浮细胞都适配,已被用于 APOE4 对微胶质细胞脂筏结构的研究(Transl Neurodegener. 2024);
避坑提醒:千万别用甲醇 / 丙酮固定(会溶解脂筏),固定选 4% 甲醛,透化可选 0.1% Saponin,实验成功率直接翻倍。
科研党必看:这些细节让实验少走弯路
储存要点:固体粉末 - 20℃存 12 个月,溶解后分装- 20℃能存 6 个月,2-8℃仅能存 1 周,务必避免反复冻融!
配制技巧:用无菌 1×PBS(pH7.4)溶解,轻柔涡旋混匀,别剧烈震荡(会破坏蛋白结构);
配套福利:Absin还提供 FITC/AF488/AF594/AF647 等荧光标记款、兔抗 CTB 多克隆抗体(abs122159)、封片剂(abs9235)等配套试剂,一站式配齐不用到处找;
纯度保障:双重检测(SDS-PAGE+RP-HPLC)纯度>95%,低内毒素设计,细胞实验不出现非特异性毒性。
最后说句实在的:
一款好的科研工具,核心是「解决问题 + 降低门槛」。CTB 凭借无毒性、高特异性、多场景适配的优势,已经成为神经科学、免疫学、细胞生物学的「顶刊常客」。不管你是刚入门的研究生,还是需要稳定数据的资深研究员,这款「科研多面手」都能帮你少踩坑、提效率~
如果你的实验正被示踪、佐剂或脂筏标记困扰,欢迎在评论区交流具体场景,我会分享对应的优化方案!觉得有用的话,点赞收藏,下次做实验直接翻出来用~
引用文献:
1. EM Dipeptide Enhances Milk Protein Secretion: Evidence from Integrated Metabolomic and Transcriptomic Analysis Metabolites. 2025 Jul 14 . 影响因子:3.7
2. Intranasal trivalent candidate vaccine elicits broad humoral and cellular immunity against pneumococcal pneumoniaFront Cell Infect Microbiol. 2025 Jun 27 . 影响因子:8
3. Systematic Evaluation of Isolation Techniques and Freeze‐Thaw Effects on Plasma Extracellular Vesicle Heterogeneity and Subpopulation ProfilingJ Extracell Biol. 2025 Jun 26 . 影响因子:4
4. Applicability of the allergen Ana o 3 in the construction of a cashew nut allergy paradigm in BALB/c miceFood Bioscience. 2025 Jan 1 . 影响因子:4.802
5. A spinal neural circuit for electroacupuncture that regulates gastric functional disordersJ Integr Med. 2024 Dec 3 . 影响因子:2
6. Intranasal trivalent candidate vaccine induces strong mucosal and systemic immune responses against Neisseria gonorrhoeaeFrontiers in Immunology. 2024 Nov 26 . 影响因子:7
7. A mouse protozoan boosts antigen-specific mucosal IgA responses in a specific lipid metabolism- and signaling-dependent mannerNature Communications. 2024 Sep 10 . 影响因子:7
8. Mucoadhesive chitosan-catechol as an efficient vaccine delivery system for intranasal immunizationInternational Journal of Biological Macromolecules. 2024 Jul 1 . 影响因子:7
9. Structure-guided engineering of aptamers to enhanced structural stability and application performance in alleviating β-lactoglobulin allergenicityCHEMICAL ENGINEERING JOURNAL. 2023 Aug 14 . 影响因子:1
10. Stromal Stiffness-Regulated IGF2BP2 in Pancreatic Cancer Drives Immune Evasion via Sphingomyelin Metabolism 2025 Mar 28 . 影响因子:25.7
11. Autophagy induced by mechanical stress sensitizes cells to ferroptosis by the NCOA4-FTH1 axis 2025 Mar 10 . 影响因子:14.6
12. TRPV1 alleviates APOE4-dependent microglial antigen presentation and T cell infiltration in Alzheimer's diseaseTranslational Neurodegeneration. 2024 Oct 29 . 影响因子:8
13. Neurotrophin-3 promotes peripheral nerve regeneration by maintaining a repair state of Schwann cells after chronic denervation via the TrkC/ERK/c-Jun pathwayJournal of Translational Medicine. 2023 Oct 17 . 影响因子:4
14. Both LTA and LTB Subunits Are Equally Important to Heat-Labile Enterotoxin (LT)-Enhanced Bacterial AdherenceINTERNATIONAL JOURNAL OF MOLECULAR SCIENCES. 2023 Jan 8 . 影响因子:6.208
15. Nisoldipine Inhibits Influenza A Virus Infection by Interfering with Virus Internalization ProcessViruses-Basel. 2022 Dec 8 . 影响因子:5.818
16. CpG DNA assists the whole inactivated H9N2 influenza virus in crossing the intestinal epithelial barriers via transepithelial uptake of dendritic cell dendritesMucosal Immunology. 2015 Jul 7 ; 4 影响因子:7.36
产品推荐
|
货号 |
产品名称 |
规格 |
|
霍乱毒素B亚单位 |
1mg |
|
|
霍乱毒素B亚单位-FITC偶联物 |
1mg |
|
|
霍乱毒素B亚单位-AF647偶联物 |
200μg |
|
|
abs80006 |
霍乱毒素B亚单位-AF488偶联物 |
200μg |
|
abs80005 |
霍乱毒素B亚单位-AF594偶联物 |
200μg |
|
Rabbit Anti-β Subunit Cholera Toxin Polyclonal Antibody |
100uL |
|
|
Goat anti-Rabbit IgG-FITC Antibody |
1mL |