文章

空间转录组助力揭示ALS成熟运动神经元轴突局部的翻译失调机制

2026-03-03     来源:本站     点击次数:266

图片

题目:Axonal Eif5a hypusination controls local translation and mitigates defects in FUS-ALS
期刊:Nature neuroscience
IF:20
DOI:10.1038/s41593-025-02101-2

研究背景

肌萎缩侧索硬化症(ALS)是一种以运动神经元进行性退化为特征的致命神经退行性疾病。大量研究表明,在疾病早期阶段,轴突功能障碍往往先于神经元胞体死亡发生,因此轴突被认为是ALS病理进程中最早受损的关键亚细胞区室。

运动神经元轴突长度极长,其远端结构及神经肌肉接头(NMJ)的稳态维持高度依赖局部蛋白合成。然而,成熟运动神经元轴突是否能长期保有系统性的翻译能力,以及这一过程在ALS中如何被破坏,长期以来缺乏直接的、定量的证据。

针对这一关键的机制空白,本研究利用GeoMx DSP空间转录组技术,对成年小鼠运动神经元轴突进行直接解析,并利用10x Visium空间转录组在连续组织中加以验证,从而系统揭示了轴突局部翻译失调的分子基础。

研究方法

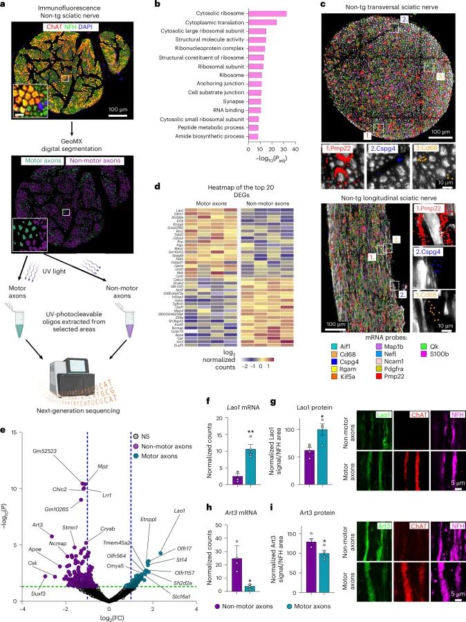
研究者构建了以GeoMx DSP空间转录组技术为核心的多层次空间分析框架,用于精准解析神经系统中运动神经元轴突的局部转录状态。

研究首先对成年小鼠坐骨神经切片进行高精度ROI采样,结合ChAT和NFH免疫荧光标记,区分运动神经元轴突与非运动神经元轴突。在保持组织空间结构完整的前提下,对轴突区域开展全转录组定量检测,从而实现轴突层面翻译相关基因的直接比较。

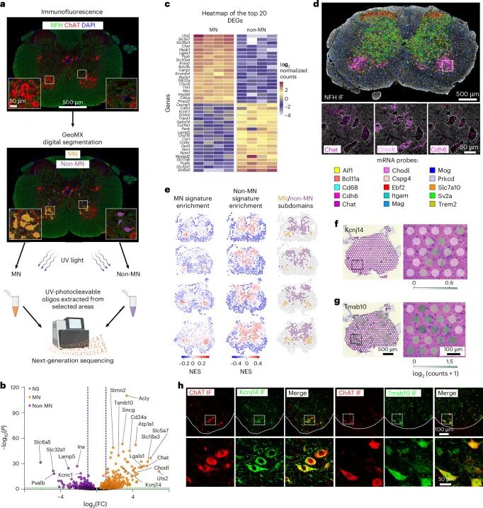
随后,作者利用10x Visium空间转录组对小鼠脊髓切片进行分析,从连续空间尺度上对GeoMx DSP的相关结果进行补充和验证。

此外,研究结合公共snRNA-seq数据集排除细胞组成差异的影响,并通过小鼠神经活动检测和果蝇ALS模型实验,对关键分子机制进行了功能验证。

主要发现

1.GeoMx DSP揭示成熟轴突高度富集翻译相关转录本

基于GeoMx DSP对运动神经元轴突的检测数据,研究发现核糖体蛋白基因(如Rpl4、Rpl15、Rps2等)以及多种翻译相关基因(包括翻译起始、延伸和终止因子)在轴突区域显著富集。这一发现表明,成熟轴突并非仅在发育期或损伤修复状态下才依赖局部蛋白合成,而是长期维持活跃的翻译能力。

图片

轴突部位翻译相关组件的高度定位

2.Visium验证翻译相关mRNA沿轴突连续分布

结合小鼠脊髓的Visium数据,研究发现多种翻译相关mRNA沿神经纤维走向呈现连续分布,并与细胞核富集区域明显区分。这一空间模式与GeoMx DSP在轴突ROI中检测到的特征一致,从组织尺度上验证了翻译相关转录本在轴突中的真实存在。

图片

翻译相关mRNA在脊髓中连续表达

3.FUS突变引发轴突特异性翻译失衡

由于FUS突变已知会抑制轴突局部翻译,研究者进一步利用GeoMx DSP分析FUS突变小鼠(R521H模型)的运动神经元轴突转录组。结果显示,翻译相关基因异常主要局限于轴突,而胞体几乎无变化;不同核糖体蛋白及翻译因子在轴突中呈现失衡表达,提示翻译异常源于翻译相关组件组成的特异性重构,而非整体抑制。

图片

翻译相关组件的特异性失调

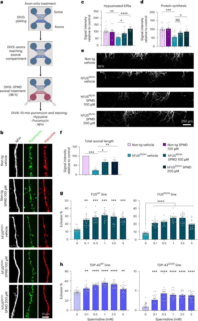
4.轴突Eif5a低脲化缺陷可被spermidine逆转

通过对轴突ROI的空间定量分析,研究发现FUS突变显著降低了低脲化Eif5a(真核生物翻译起始因子5A)及总Eif5a的水平。同时负责该低脲化最后一步的关键酶(Dohh)的mRNA在轴突中明显下调,提示翻译延伸与终止在轴突局部受特异性影响。

基于这一机制,研究进一步尝试轴突层面补充多胺(spermidine),结果显示可有效恢复Eif5a低脲化并改善局部蛋白合成,同时缓解小鼠和果蝇模型中的神经功能缺陷,为潜在ALS治疗提供新思路。

图片

轴突Eif5a低脲化恢复与功能改善

文章总结

本研究以GeoMx DSP空间转录组技术为核心,对ALS相关FUS突变模型中运动神经元轴突的局部翻译状态进行了系统解析。同时结合10x Visium空间转录组数据,从连续空间尺度确认了翻译相关转录本在轴突中的定位。结果显示,ALS相关FUS突变并非简单抑制翻译,而是通过影响轴突中Eif5a的活性状态导致翻译延伸环节受损。研究不仅加深了对ALS早期病理机制的理解,也展示了GeoMx DSP在复杂神经组织亚区室分子解析中的价值,并为未来ALS的潜在干预策略提供了参考。

相关文章 更多 >