文章

腺病毒肿瘤内注射小鼠的病毒用量的影响研究

2025-10-13     来源:本站     点击次数:40

文章标题:LncRNA EP300-AS1 interacts with PTBP1 to destabilize PRMT5 mRNA and suppresses NSCLC growth and metastasis
发表期刊:Cell Death & Disease,IF 9.6
合作客户:北部战区总医院张德宇团队
维真助力:腺病毒
基因信息:LncRNA EP300-AS1
病毒产品:Ad-EP300-AS1-GFP
实验动物:NTG小鼠
注射方式:肿瘤内注射
注射量:5 x 10^8 pfu 、1 x 10^9 pfu
实验细胞:A549、EBC1
MOI:10、50、100、500
Ad-EP300-AS1感染A549和EBC1细胞荧光图
研究背景
非小细胞肺癌(NSCLC)是常见的恶性癌症之一,其特征是转移率和死亡率高,目前非小细胞肺癌生长和进展的分子机制在很大程度上仍不清楚。在本研究中EP300 AS1被确定为非小细胞肺癌中一种关键的肿瘤抑制性长非编码RNA(lncRNA),在体外和体内都能抑制非小细胞肺癌细胞的生长和转移,并与更好的临床结果相关,这为非小细胞肺癌的预测和治疗提供了一种新型的调节机制和有前途的靶点。
部分结果展示
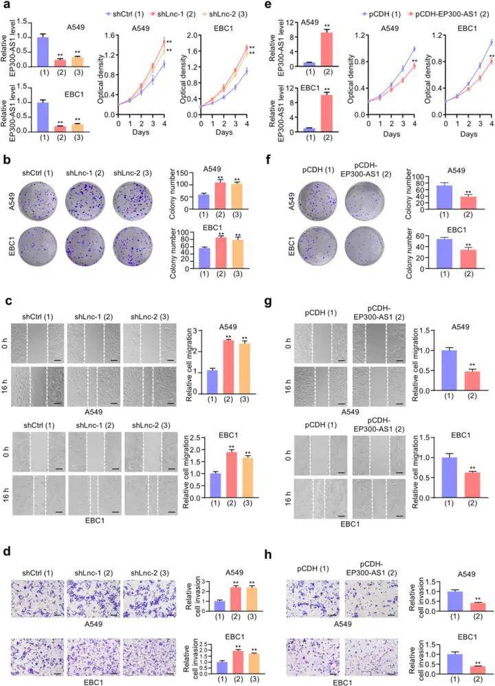
1. EP300-AS1抑制非小细胞肺癌细胞增生、迁移和侵袭
作者发现EP300-AS1是与非小细胞肺癌转移和进展相关的重要lncRNA,为了研究其在非小细胞肺癌细胞中的生物学作用,作者在A549和EBC1细胞中敲低和过表达EP300-AS1。细胞增生、集落形成试验、伤口愈合分析表明,与对照细胞相比,敲低组细胞生长得更快,细胞的迁移和侵袭能力增强;相反过表达组细胞的繁殖、迁移和侵袭能力降低。这些结果表明EP300-AS1在体外具有抑制非小细胞肺癌细胞增生、迁移和侵袭的能力。接下来作者使用0、10、50、100和500 MOI的Ad-EP300-AS1感染非小细胞肺癌细胞,发现Ad-EP300-AS1以剂量依赖性方式抑制A549和EBC 1细胞增生。体内实验表明,肿瘤内注射Ad-EP300-AS1抑制A549肿瘤生长。这些发现表明EP300-AS1对非小细胞肺癌具有治疗潜力。机制研究发现EP300-AS1以PTBP1依赖性方式降低PRMT5 mRNA稳定性,进而在体外和体内抑制NSCLC细胞增殖、侵袭和转移。
图1. EP300-AS1抑制非小细胞肺癌细胞增生、迁移和侵袭
2. 沉默EP300-AS1促进A549肿瘤生长和转移
为了研究EP300-AS1在体内肿瘤生长中的作用,作者将稳定表达EP300-AS1shRNA的A549细胞皮下注射到NTG小鼠的右腹,发现EP300-AS1沉默的A549细胞形成了更大的肿瘤。此外EP300-AS1敲低增加了PRMT5和Ki67阳性细胞数量。生物发光成像显示EP300-AS1敲低组的肺部区域的发光信号明显更高,H&E染色证实小鼠肺部肿瘤结节数量增加。但PTBP1的敲除能抑制和消除上述结果,还抑制和消除了EP300-AS1敲低诱导的肿瘤转移。
图2 沉默EP300-AS1促进A549肿瘤生长和转移
实验结论
本研究全面阐述了EP300-AS1在NSCLC中的抗肿瘤生物学功能及其分子机制。EP300-AS1以PTBP1依赖性方式降低PRMT5 mRNA稳定性,在体外和体内抑制NSCLC细胞增殖、侵袭和转移。在肺腺癌(LUAD)和肺鳞细胞癌(LUSC)患者中,EP300-AS1表达与PRMT5表达呈负相关。这些发现表明EP300-AS1-PTBP1 PRMT5轴是非小细胞肺癌进展中的关键调节途径,为非小细胞肺癌的预测和治疗提供了新的调节机制和靶点。
相关文章 更多 >