文章

二甲双胍经提高皮肤来源干细胞的增殖活性促进机械牵张诱导的皮肤再生

2025-10-15     来源:本站     点击次数:23

皮肤扩张术作为机械牵张诱导皮肤再生的有效方法,虽在临床皮肤缺损修复和器官重建中常用,但皮肤再生能力有限,需要新方法提升其临床应用效果。机械牵张中细胞增殖、胶原合成等生物学行为影响皮肤再生。以往研究显示干细胞疗法有效,而皮肤源性的表皮干细胞和毛囊 bulge 干细胞也可能起关键作用。毛囊 bulge 干细胞移植可通过分化增强机械牵张过程中的皮肤再生。但体外干细胞直接应用困难,因此找到能正向调节相关生物学行为并激活表皮干细胞或毛囊 bulge 干细胞的药物疗法,可能有助于经机械牵张皮肤的再生。

有研究显示二甲双胍局部应用利于组织再生、伤口修复,能促进血管生成、激活毛囊 bulge 干细胞、增加胶原沉积和再上皮化,而机械牵张过程涉及损伤与修复,因此局部用二甲双胍可能改善机械牵张诱导的皮肤再生。

基于此,第四军医大学西京医院整形外科的研究团队探究二甲双胍对机械牵张皮肤再生的促进作用,通过构建大鼠头皮扩张模型,观察其影响并重点关注表皮干细胞和毛囊 bulge 干细胞的变化。研究成果发表在Frontiers in medicine期刊,题为“Metformin Promotes Mechanical Stretch-Induced Skin Regeneration by Improving the Proliferative Activity of Skin-Derived Stem Cells”。

二甲双胍通过提高皮肤来源干细胞的增殖活性促进机械牵张诱导的皮肤再生

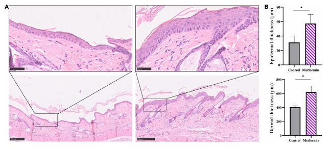
首先,研究人员通过苏木精 - 伊红染色及统计分析发现,二甲双胍处理组经机械牵张的皮肤,其表皮细胞层数增加、基底层细胞排列紧密,真皮中毛囊数量多,且皮肤整体厚度增加,其中表皮和真皮厚度均显著大于对照组(图 1),表明二甲双胍能增强机械牵张后的皮肤增厚。

二甲双胍通过提高皮肤来源干细胞的增殖活性促进机械牵张诱导的皮肤再生

图 1    机械牵张皮肤厚度的测量

接下来,研究人员通过多种方法检测机械牵张后真皮的胶原情况(图 2A),发现二甲双胍处理组的胶原容积分数显著高于对照组(图 2B),I 型和 III 型胶原表达显著增加(图 2C、D),新合成胶原更多(图 3A),且胶原原纤维排列更均匀、无扭曲,而对照组胶原原纤维多断裂、紊乱(图 3B)。这表明二甲双胍能增加真皮胶原沉积并改善其排列。

二甲双胍通过提高皮肤来源干细胞的增殖活性促进机械牵张诱导的皮肤再生

图2    胶原蛋白合成的评估

二甲双胍通过提高皮肤来源干细胞的增殖活性促进机械牵张诱导的皮肤再生

图3    真皮胶原原纤维的天狼星红染色及超微结构分析

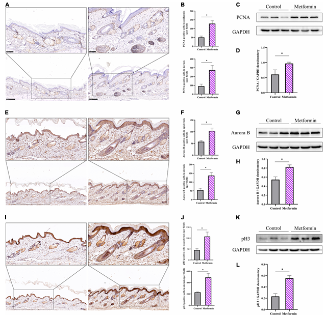
随后,研究人员通过检测多种细胞增殖标志物,探究二甲双胍对细胞增殖的影响。结果显示,二甲双胍处理组中,Ki67 阳性细胞比例显著高于对照组。细胞分裂周期不同阶段的增殖标志物PCNA(图 4A、B)、Aurora B(图 4E、F)、pH3(图 4I、J)的阳性细胞数量在表皮和真皮中均多于对照组 ,且这些增殖细胞主要位于表皮基底层和毛囊外根鞘;同时,western blot 结果也证实 PCNA(图 4C、D)、Aurora B(图 4G、H)和 pH3(图 4K、L)的蛋白水平均显著升高 。这表明二甲双胍能促进细胞增殖。

二甲双胍通过提高皮肤来源干细胞的增殖活性促进机械牵张诱导的皮肤再生

图4    机械牵张皮肤中的细胞增殖

接着,研究人员通过体内微血管血流检测和 CD31 免疫组织化学染色,探究二甲双胍对皮肤血流及血管数量的影响。结果显示,二甲双胍处理组的微血管血流量显著高于对照组(图 5A、B),且经机械牵张的皮肤移植物中血管数量增加(图 5C),该组每视野的 CD31 阳性血管数量也显著多于对照组(图6)。这表明二甲双胍能增加皮肤的血流量和血管数量。

二甲双胍通过提高皮肤来源干细胞的增殖活性促进机械牵张诱导的皮肤再生

图 5    微循环血流的检测

二甲双胍通过提高皮肤来源干细胞的增殖活性促进机械牵张诱导的皮肤再生

图6    机械牵张皮肤中 CD31 的 IHC 染色

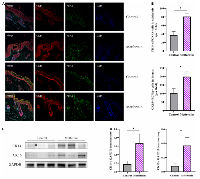
最后,为确定参与皮肤再生的细胞类型,研究人员对PCNA与 CK14 或 CK15 进行了双重免疫荧光染色。结果显示,二甲双胍处理组中,机械牵张表皮基底层的 CK14+/PCNA+ 细胞数量及毛囊外鞘的 CK15+/PCNA+ 细胞数量均显著多于对照组图 (7A、B),且该组中 CK14 和 CK15 的表达也上调(图 7C、D)。这表明二甲双胍能增强皮肤来源干细胞的增殖能力。

二甲双胍通过提高皮肤来源干细胞的增殖活性促进机械牵张诱导的皮肤再生

图 7    机械牵张皮肤的免疫荧光染色

综上所述,该研究发现局部应用二甲双胍可增强机械牵张皮肤的再生能力,这可能与胶原合成增强、血管生成及皮肤来源干细胞增殖有关。这些发现或许能为促进机械牵张诱导的皮肤再生提供一种有价值的替代策略。

参考文献:Xiong S, Liu W, Song Y, Du J, Wang T, Zhang Y, Huang Z, He Q, Dong C, Yu Z, Ma X. Metformin Promotes Mechanical Stretch-Induced Skin Regeneration by Improving the Proliferative Activity of Skin-Derived Stem Cells. Front Med (Lausanne). 2022 May 24;9:813917. doi: 10.3389/fmed.2022.813917. PMID: 35685420; PMCID: PMC9170926.
原文链接:https://pubmed.ncbi.nlm.nih.gov/35685420/

图片来源:所有图片均来源于参考文献 

小编旨在分享、学习、交流生物科学等领域的研究进展。如有侵权或引文不当请联系小编修正。如有任何的想法以及建议,欢迎联系小编。感谢各位的浏览以及关注!进入官网www.naturethink.com或关注“Naturethink”公众号,了解更多相关内容。

点击了解:牵张应变细胞培养仪

相关文章 更多 >