文章

空间多组学思路分享(二):解析疾病诱导实质细胞表型改变的分子机制

2025-10-21     来源:本站     点击次数:49

疾病进程中实质细胞表型的病理改变是疾病机制研究的核心挑战,而空间多组学技术正为解析这一过程提供全新的视角。本文分享的系统性研究思路,通过整合病理学分析、单细胞测序与CosMx空间分子成像(SMI)技术,构建了从组织形态到分子通路的完整研究框架,精准揭示疾病诱导实质细胞表型改变的分子机制。

一、研究思路

图片

 
二. 研究思路详解

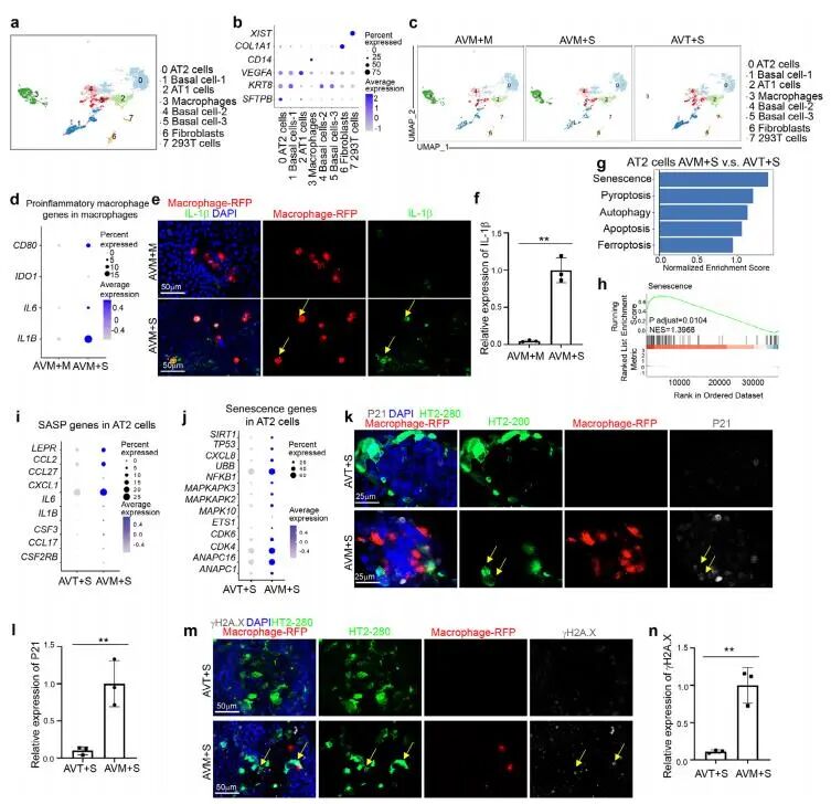
1、为了解析疾病诱导实质细胞表型发生了怎样的改变,首先对疾病组织进行病理分析,鉴定组织结构和形态的变化特征,并将显著发生病理变化的组织区域标记。接下来,对疾病组织和正常对照组织进行单细胞转录组测序,对带有标记区域的疾病组织切片和正常对照组织切片进行CosMx SMI空间转录组检测,整合两部分数据获得空间单细胞转录组图谱。

图片图1 空间单细胞转录组注释结果示例

2、对疾病组织和正常组织的实质细胞转录组进行差异分析,鉴定发生显著变化且与疾病发展相关的信号通路。同时结合先验知识筛选发生显著功能/表型改变的细胞类型,这种细胞类型可能是诱导实质细胞发生表型变化的关键上游细胞类型。
 

图片图2 疾病组织vs正常组织实质细胞及候选上游细胞差异分析结果示例

3、将疾病组与正常组的候选上游细胞与正常组的实质细胞进行共培养,或培育成类器官,结合单细胞转录组测序技术确认疾病组的候选上游细胞类型是否能诱导实质细胞表型发生病理改变。

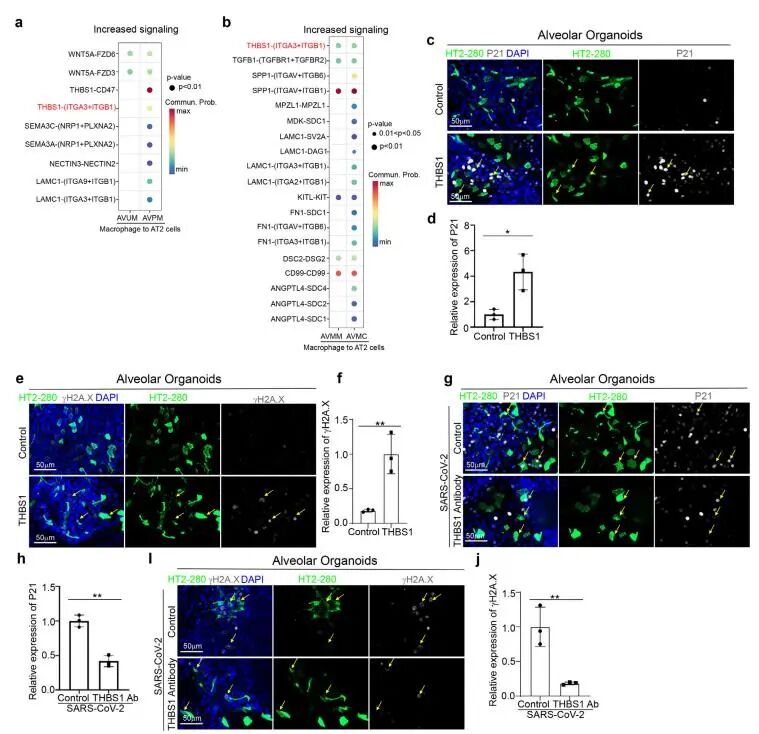
4、使用互作分析从候选上游细胞类型和实质细胞中筛选重要互作关系对基因,并用基因翻译的蛋白质处理实质细胞,或阻断掉该蛋白,从而验证该互作关系对基因是介导实质细胞表型改变的关键靶点。
 
图片
图3 空间细胞互作分析及验证实验结果示例

5、整合上述分析结果,并使用qPCR、WB、免疫荧光染色实验等技术进行验证,发现疾病诱导组织中实质细胞表型改变的分子机制。

三、案例分享
 

图片
 

研究SARS-CoV-2感染后巨噬细胞介导的肺细胞衰老的人免疫肺类器官模型
期刊:Advanced Science
影响因子:14.1 
发表时间:2025.07

人类呼吸系统是COVID-19的主要攻击目标及疾病进展的核心场所,阐明免疫细胞介导肺损伤的分子机制,对理解疾病进展及发现潜在治疗靶点具有关键意义。本研究通过整合空间转录组学(CosMx SMI空间转录组)与单细胞多组学技术,发现COVID-19离体样本中存在促炎型巨噬细胞的激活现象。构建功能性免疫-肺类器官模型进行动态验证,发现促炎型巨噬细胞通过THBS1–(ITGA3+ITGB1)信号轴诱导肺细胞衰老。本研究不仅建立了生理学相关的免疫-肺类器官模型用于模拟巨噬细胞介导的组织损伤,同时揭示了THBS1–(ITGA3+ITGB1)通路在感染性疾病中驱动肺细胞衰老这一此前未被认知的作用。

参考文献
Han, Yuling et al. “A Human Immuno-Lung Organoid Model to Study Macrophage-Mediated Lung Cell Senescence Upon SARS-CoV-2 Infection.” Advanced science (Weinheim, Baden-Wurttemberg, Germany), e03932. 25 Jul. 2025.
相关文章 更多 >